[最も人気のある!] 親知らず 何本 106949-親知らず 何本ある
ところで、上顎の親知らずって抜歯って そんなに大変なことって少ないんですよ。 だいたい、骨の中に埋まっている根っこの短いものも多く また、根っこの本数も1本または2本ぐらいが多いんですけど 親知らず(智歯)の話をする前に、そもそも人間の歯って何本あるかご存知でしょうか? 子供の歯(乳歯)は上下左右で合計 本 大人の歯(永久歯)は上下左右で合計 32本 あります。 こんばんは。 埼玉県川口市 東川口にある歯医者 HSデンタルサロン 東川口けやき通り総合歯科 院長の鈴木です。 今日は親知らずを2本同時に抜歯して欲しいという依頼を受けたお話を。 相談はこちらから ↓↓↓↓ lineはこちらで友達追加できます。
1 永久歯と乳歯の ちがい 生えかわり期の歯みがきq A 6 12歳 オーラルケア情報 クリアクリーン 花王株式会社
親知らず 何本ある
親知らず 何本ある- 親知らずは何本ありますか? 一般的には、上下顎各1本ずつ、 計4本 あります。しかし個人差が大きく、先天的に親知らずがない方や、4本揃わない方もいらっしゃいます。 親知らずにまつ親知らずは抜かないとどうなる? 抜かないとどうなるかというと、 虫歯になる 歯周病の原因 歯並び 口臭の原因 頭痛を招く ですね。 あごまでしびれるし、頭も痛くなるし、夜は眠れないのはそこまで変



斜めに生えている親知らず 半埋伏 親知らず抜歯外来 渋谷歯科
年10月28日 親知らずの抜歯はメチャクチャ痛いです。 最近、下の親知らずを抜いてきたところ、ウワサ通り地獄のような痛みを味わうことが出来ました(泣)。 本記事は 親知らずを抜いた当日から痛みがなくなるまで、何日目にどのくらい痛みがあっ親知らずのはなし お口のなかに「おやしらず」は何本ありますか? 親知らずは智歯ともよばれ、英語でwisdom teethと言います。親も知らない、気づかないような時期にゆっくりと生えてくるのでこんな名前になったとか。親知らずって何番目の歯? ? ? 皆さんのお口の中の親知らずがどのような状況にあるかはご存知でしょうか? 親知らずは一番奥にある歯で前から数えると8番目になります あれ? 私、抜いたことはないのに7本しかない! ?
残すべき? 私たちのお口のなかで、何かとトラブルの原因になりやすい歯が「親知らず」です。 まずは、親知らずの抜歯経験の有無を調査した、あるアンケート結果をご覧ください。 親知らずを抜いたことがありますか? 親知らずを何本抜きましたか問32 現在、あなたの歯は何本ありますか。ただし、親知らず歯は数えません。さし歯は 数えます。( はひとつ) 全体では、「ほとんどある(~27本)」が381%で最も高く、「全部ある(28本)」が359%となって いる。代女性、静脈内鎮静治療を用いて親知らずを4本同時に抜歯した症例 こんにちは☆みらい歯科クリニックです♪ 先日のブログ投稿にて、静脈内鎮静治療についてご説明したかと思います。 今回は実際に静脈内鎮静治療を用いて抜歯を行った症例をご紹介
親知らずを抜いた場所から歯が生えることはある ・親知らずを一度抜いた場所からもう一度親知らずが生えてくることは基本的には無い ・ただし、親知らずでは無い別の歯が同じ場所から生えてくることはあり得る ・本来は親知らずまで含めて人間の口1 親知らずが上下できちんと生え、かみ合っている:写真 (図10) のように親知らずが顎に直立して生え、お互いにかんでいる場合。 2 顎の骨の中に完全に埋まっていて問題が無い:写真 (図11) は、親知らずが顎の骨の中に完全に埋まっている状態です。 この親知らずは周りの歯や骨に 親知らず抜歯当日の朝 抜歯開始時間は、昼14時からとなっていました。 食事は、 施術の3時間前までに済ませておく必要があります。 また飲み物も施術1時間前ぐらいから控えるように言われていました。 なので私は、昼食を少し早いですが10時半に食べ



歯 って何本あるの 落合歯科医院



大人の親知らずは抜くべき 抜歯後の痛み 腫れの予防 軽減方法などを解説 歯科医師監修
lisaが、tokyo fmのレギュラー番組に出演。近況として親知らずを抜いたエピソードを伝えました。 (tokyo fm「school of lock! 親知らずにまつわる問題 原因親知らずのはなし お口のなかに「おやしらず」は何本ありますか? 親知らずは智歯ともよばれ、英語でwisdom teethと言います。親も知らない、気づかないような時期にゆっくりと生えてくるのでこんな名前になったとか。 でも、何本か打つのでなんともいえない、いや~な感じはしました(笑)。 (3)親知らずを抜きます その後、麻酔が効いているのを確認し、親知らずを抜いていきます。



自分の歯について知っていますか 福岡市西区 九大学研都市の歯医者なら昭和歯科 矯正歯科



永久歯 生える本数 生えかわる時期と順番は 乳歯との見分け方や 永久歯欠損などの対処 治療法も Hugkum はぐくむ
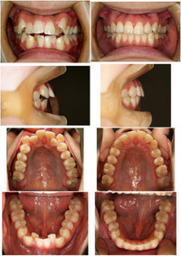
親知らず、小臼歯を合計8本とも抜くことはあるの? 上下のガタガタや口元の突き出している症例を治療する場合は、上下合わせて8本抜く場合もあります。 ただし、親知らずはもともと使われない歯のため、我々は 8 本であっても、4本と考えおります。親知らずが3本あります。 一回ですべて抜いてはいただけますか? →術後の腫れや、食事の不具合を考えると、通常左右2回にわけての処置が望ましいですが、1回ですべて抜歯することも可能です。 希望した場合静脈内静脈内鎮静法にて処置してただけ こんにちは、甲斐翔太です。 親知らずの抜歯。 怖いですよね。 歯医者さんに通院している方で、何かしら親知らずに問題を抱えているのであれば、抜歯を勧められたことがあるはずです。でも、抜歯と聞いてネガティ



親知らず 神奈川県の横浜歯友会内藤歯科



西宮市の口腔外科 親知らず 顎関節症 西宮市の無痛治療は あかつき歯科医院 へ 日曜診療 訪問診療も対応いたします



70歳の平均の歯の本数は 三隅歯科クリニック 熊本県熊本市東区長嶺南



知らなかった 奥歯は全部で何本あるのか ゆずもちろぐ



保存版 乳歯の生え変わりっていつ 何本抜ける 抜ける順番や時期について 19 10 24 歯髄細胞バンクなら株式会社セルテクノロジー



永久歯の本数 乳歯の本数 ネット予約可 静岡市の歯医者は小嶋デンタルクリニック



1 永久歯と乳歯の ちがい 生えかわり期の歯みがきq A 6 12歳 オーラルケア情報 クリアクリーン 花王株式会社



80 ハチマルニーマル 運動 川越にある歯周病 根管治療の歯科医院 関口歯科



親知らず 歯とお口のことなら何でもわかる テーマパーク80



自分の歯について知っていますか 福岡市西区 九大学研都市の歯医者なら昭和歯科 矯正歯科



診療案内 吉祥寺 歯科 吉祥寺駅 歯医者 三鷹市 野間歯科クリニック



親知らずの抜歯は同時に何本まで可能か



歯の種類と本数



親知らずを抜くべきかどうかの判断基準と抜歯の難易度判定 八島歯科クリニック



歯は何本 みんなのひろば おおつか歯科医院



親知らずは抜くべき 残すべき 名古屋駅直結の歯医者 ゲートタワースワン歯科 矯正歯科



親知らずは抜くべき 残すべき 名古屋駅直結の歯医者 ゲートタワースワン歯科 矯正歯科



大人の歯は何本あるの いなだ歯科



親知らずを抜いたら ひどく腫れた 親知らずのトラブル 神奈川県歯科医師会 公益社団法人神奈川県歯科医師会



1



あなたの歯の数 東京都福祉保健局



子供の歯並び 歯列育形成 床矯正 子供の歯列矯正 小児矯正 島田歯科医院ブログ 大田区蒲田の歯医者さん



親知らず 神楽坂駅1分の歯医者 神楽坂駅前吉野歯科



新聞社web掲載コラム 岡山市撫川の歯科医院 なつかわ歯科



歯列矯正で横向きに埋まっている親知らずを抜歯する理由は何



50代から歯科矯正をすすめる理由 横浜市星川の矯正歯科 ゆうデンタルオフィス



矯正中 親知らず抜歯のタイミング 大宮駅2分 大宮shin矯正歯科



斜めに生えている親知らず 半埋伏 親知らず抜歯外来 渋谷歯科



親知らずの抜歯はしたほうが良いのか 名古屋歯科



親知らずを抜くべきかどうかの判断基準と抜歯の難易度判定 八島歯科クリニック



親知らず治療 診療科目 秋田市の歯医者 歯科医院ならクローバーデンタル 小児歯科 虫歯治療 歯周病治療 インプラント 親知らず治療 矯正歯科



矯正治療と親知らず 横浜市青葉区の矯正歯科 あざみ野駅のクロダ矯正歯科



親知らず 神奈川県の横浜歯友会内藤歯科



歯の種類と本数



親知らずは必ず生える



その他 こどもの歯科 歯とお口の健康ガイド 歯とお口の健康情報サイト



親知らず の歯が生えてる本数は 抜かない人のケア方法も紹介 マイナビウーマン



歯を抜いた後の処置とは 梅本歯科医院



Vol 11 永久歯の数 足りてますか トレンドウォッチ 本会の活動 ニュース 矯正歯科専門の開業医団体 日本臨床矯正歯科医会



1 永久歯と乳歯の ちがい 生えかわり期の歯みがきq A 6 12歳 オーラルケア情報 クリアクリーン 花王株式会社



親知らず 歯とお口のことなら何でもわかる テーマパーク80



最近親知らずなのか右の奥歯の方が痛いです 写真のような感じなのですが これは Yahoo 知恵袋



歯の本数をご存知ですか 高崎の矯正歯科スマイルデザイン



大人の歯は何本あれば大丈夫 永久歯の本数とおいしい食事の関係 Lidea リディア By Lion



人間の歯は何本でしょう 岡崎市竜美台 神谷デンタルクリニック



親知らず 立川 歯周病 小林歯科クリニック



親知らず 歯とお口のことなら何でもわかる テーマパーク80



夢があるから v 0 v 人間の歯は何本あるかご存知ですか



あなたの歯の本数は足りている 近年増えている歯の先天性欠如



水平埋伏智歯の抜歯 下顎 川西市の歯科 歯医者なら つばめデンタルクリニック川西



乳歯と永久歯の本数



新聞社web掲載コラム 岡山市撫川の歯科医院 なつかわ歯科



将来のために今から準備 子供の矯正の方法とタイミング 白金高輪の歯医者さんコラム



あなたの歯の本数は足りている 近年増えている歯の先天性欠如



歯 の名前と本数 大杉歯科医院 寝屋川市萱島の歯医者 歯科口腔外科 をお探しなら当院へ



15年 3月 歯の数が少ない 永久歯先天性欠如



抜歯レポ 親知らずvs俺 肘樹 Note



先天性欠如歯 四国中央市の歯医者 坂田歯科医院



親知らず の歯が生えてる本数は 抜かない人のケア方法も紹介 マイナビウーマン



28本で機能する それぞれの歯の役割 1 Nukanai Com Nukanai Com



親知らず 抜歯するケースとしないケース 新板橋 板橋駅の歯医者 いしかわ歯科 平日夜9時まで



コラムvo 2 歯を知ろう 歯の数と種類編 公式 名古屋市守山区で歯医者ならしだみ歯科へ



親知らず抜歯体験レポート 右側を抜歯しました 公式 日本橋はやし矯正歯科



斜めに生えている親知らず 半埋伏 親知らず抜歯外来 渋谷歯科



意外と知らない 歯の構造と基礎知識 東大阪の歯医者



大人の歯と子供の歯は何本あるの さいたま市 南与野 与野本町の歯科医院



歯の本数の数え方 80推進財団



人間の歯は何本でしょう 岡崎市竜美台 神谷デンタルクリニック



1



歯は何本 みんなのひろば おおつか歯科医院



Vol 11 永久歯の数 足りてますか トレンドウォッチ 本会の活動 ニュース 矯正歯科専門の開業医団体 日本臨床矯正歯科医会



Column 口の中を見てみよう 自分の歯で一生おいしく食べるために 10代からはじめる80 80推進財団



過剰歯 画像



親知らずを前歯にできる 不可能と思われていた歯の移植手術が実現 ゆとり歯科医院 3d Ctと3dプリンターによる新たな歯牙移植治療を発表 ゆとり歯科医院のプレスリリース



歯に関する雑学 親知らず編



親知らずについて 上質な空間で最適な治療をお約束します 隼人デンタルサロン大濠



親知らず 一度に何本抜く 親知らず抜歯外来 渋谷歯科



人間の歯は何本でしょう 岡崎市竜美台 神谷デンタルクリニック



歯並び



Vol 11 永久歯の数 足りてますか トレンドウォッチ 本会の活動 ニュース 矯正歯科専門の開業医団体 日本臨床矯正歯科医会



年齢別の歯の本数 世田谷区千歳烏山でおすすめの歯医者 こまい歯科



親知らず は抜かないといけないの Oral Powerが世界を変える



親知らず 歯とお口のことなら何でもわかる テーマパーク80



渡辺歯科医院 歯周病 小児歯科 小矢部市 砺波市ー南砺市 渡辺歯科医院blog 渡辺歯科医院



矯正日記始めます



歯 の名前と本数 大杉歯科医院 寝屋川市萱島の歯医者 歯科口腔外科 をお探しなら当院へ



親知らず 抜いたほうがいいの 抜かなくてもいいの 詳しく解説 平野区の歯医者 かんばら歯科クリニック



親知らず おやしらず いつ抜くか 抜歯 痛み 抜かないリスク 香川 高松 親不知



本来 歯は何本あるかご存知ですか 西明石の歯医者なら にしあかし歯科 平日夜9時まで



この親知らず 根っこが何本あるんだい 萩原歯科クリニックのブログ 予防歯科方丈記



親知らずを抜歯 初心者大家のブログ



親知らず 一度に何本抜く 親知らず抜歯外来 渋谷歯科



あなたの歯は何本 新浦安の歯科 歯医者 新浦安ブライト歯科 ブログ



歯の矯正について 抜歯は何本しましたか 親知らずも抜いた場合は含めた数で教えて Yahoo 知恵袋



親知らず についてのお話 池袋デンタルオフィス 池袋 インプラント 豊島区



親知らずのこと 大西歯科 口腔外科



歯 って何本あるの 落合歯科医院



乳歯の数は何本 奈良県生駒市の歯科医院 おおはし歯科クリニック むし歯チェック 歯の健康 歯ならび相談 予防歯科 定期健診 フッ素塗布



フォレスト歯科ブログ



八重歯 ガタガタ でこぼこ を抜かずに矯正したい 白数デンタルオフィス 生涯にわたるお口の健康をめざして 噛み合わせを考えたインプラントと矯正歯科
コメント
コメントを投稿